1. ro
  2. en
  3. fr
10 octombrie 2023

Tibia Valga Correction by Extraperiosteal Fibular Release in Multiple Exostosis Disease

 

Affiliations

  1. Department of Paediatric Orthopaedics, AP-HM Timone Enfants, 13005 Marseille, France.
  2. Department of Orthopaedics and Traumatology, Iuliu Hatieganu University of Medicine and Pharmacy, 400000 Cluj-Napoca, Romania.
 
 
 

Abstract

 

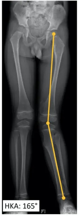
Genu valgum is a frequent deformity encountered in Multiple Hereditary Exostosis (MHE) patients. If left untreated, lower limb deformity leads to poor functional outcomes in adulthood. Our hypothesis was that in some cases, fibular shortening would lead to a lateral epiphysiodesis-like effect on the tibia. We herein report the case of a 6-year-old child with MHE who underwent extraperiosteal resection of the fibula for tibia valga correction. To obtain the lateral release of the calf skeleton, resection included inter-tibio-fibular exostosis along with proximal fibular metaphysis and diaphysis without any osseous procedure on the tibia. Gradual improvement of the valgus deformity occurred during follow-up (HKA from 165 • preop to 178 • at 27-month follow-up). Lateral release of the fibula led to an increase in the fibula/tibia index (from 93% preop to 96% at follow-up). Studying fibular growth in MHE patients could help understand how valgus deformity occurs in these patients. Even if encouraging, this result is just the report of a unique case. Further research and a larger series of patients are required to assess fibular release as a valuable option to treat valgus deformity in MHE.

 

Citation

Khal, Adyb & Peltier, Emilie & Choufani, Elie & Jean-Marc, Guillaume & Launay, Franck & Jouve, Jean-luc & Pesenti, Sebastien. (2023). Tibia Valga Correction by Extraperiosteal Fibular Release in Multiple Exostosis Disease. Biomedicines. 11. 2841. 10.3390/biomedicines11102841. 

 

Link to full article

Adresa

Timone University Hospital of Marseille

264 Rue Saint-Pierre, 13005 Marseille, France

Spitalul Pelican Medicover

Strada Corneliu Coposu 2, Oradea 410450

Contact